临床上,经常有家长咨询“孩子的牙齿需不需要矫治”“什么时候矫治会比较好呢”等类似问题。今天就让我们来了解一下,什么是儿童早期矫治以及常见的错颌畸形和治疗方法有哪些。
早期矫治主要包括哪些方面
早期矫治是指在儿童生长发育的早期阶段,一般指青春生长发育高峰期及之前的阶段,对已表现出的牙颌畸形、畸形趋势及可导致牙颌畸形的病因进行的预防、阻断、矫治和导引治疗。主要有包括以下三个方面:
1. 早期预防及预防性矫治:包括母体营养、幼儿健康保健、正常牙弓形态的维持、正常口颌功能刺激的维持及去除可能导致牙颌畸形的因素(比如错误的喂养方法)等。
2. 早期阻断性矫治:对已出现的早期畸形及造成畸形的因素,以及不良习惯等进行矫治器阻断治疗及肌功能调整训练治疗。
3. 早期颌骨生长控制和矫形治疗:通过自身肌力或外力刺激或抑制手段,协调和控制上下颌骨在三维空间(长、宽、高)方面的正常生长发育关系。
常见的错颌畸形及矫治方法
1. 前牙反合
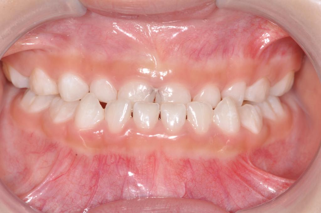
前牙反合,俗称“地包天”,是指上下颌牙齿咬合时,下颌前牙咬在上颌前牙的外面。前牙反合随着患者的生长,症状会逐渐加重,往往造成上颌骨发育不足、下颌骨发育过度,表现为凹面型,对患者的美观、功能及心理健康均带来了极大的不良影响。乳牙列时期的前牙反合一般在3-5岁左右进行。混合牙列的前牙反合一般在8-9岁左右。

矫治方法:前牙反合的患儿往往伴有咬上唇、伸下巴、口呼吸等不良习惯。因此,应首先纠正其不良习惯。口呼吸习惯应进行耳鼻喉科会诊处理,检查其是否伴有鼻咽部疾病,排除鼻咽部疾病后,再进行纠正。对于乳牙列,常用的矫治器为合垫舌簧矫治器;对于混合牙列,常用的矫治器为前方牵引矫治器和FRⅢ矫治器。
① 合垫舌簧矫治器

② 前方牵引矫治器


③ Frankel Ⅲ矫治器


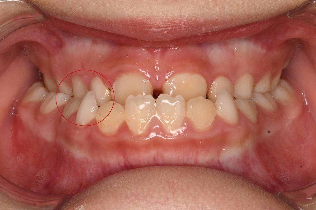
2. 后牙反合
后牙反合表现为下后牙咬在上颌后牙的外侧、上牙弓狭窄。单侧后牙反合患者会出现不同程度的颜面不对称,当上牙弓进一步狭窄时,会形成双侧后牙反合,影响其咀嚼。

矫治方法:后牙反合的患儿往往因为有龋齿而形成偏侧咀嚼的习惯,应及时治疗后牙区龋齿,纠正其偏侧咀嚼的习惯。乳牙列和混合牙列期的主要治疗方法主要通过调合以及扩展上牙弓宽度。常用的矫治器为Haas扩弓器和Hyrax扩弓器。

Haas扩弓器

Hyrax扩弓器
3. 前牙深覆合深覆盖
前牙深覆合是指上前牙覆盖下前牙唇面超过1/3,深覆盖是指上前牙的唇面与下前牙唇面之间的水平距离超过3mm,常常伴有下颌后缩,侧貌呈现凸面型。


矫治方法:前牙深覆合深覆盖的患儿常常伴有吮指,咬下唇,口呼吸等不良习惯,同样,应首先纠正其不良习惯,必要时可在其手指上涂抹苦瓜汁或是辅助矫治装置如唇挡丝、前庭盾等。同时早期可进行肌功能训练,如上唇肌张力训练。口呼吸习惯应进行耳鼻喉科会诊处理,检查其是否伴有鼻咽部疾病,排除鼻咽部疾病后,再使用前庭盾、闭口贴等纠正。针对功能性的因素,常用的矫治器为肌激动器,TB、FRⅡ。针对骨性的因素,常用的矫治器为头帽-肌激动器。
① 下唇挡

② 前庭盾

③ 肌激动器/头帽肌激动器


④ Twin-Block矫治器


⑤ Frankel Ⅱ矫治器

4. 前牙开合
开合是指上下前牙之间垂直向呈现间隙。


矫治方法:开合的患儿往往存在吮指、药物和吐舌等不良习惯。同样,首先纠正其不良习惯,必要时辅助矫治装置,如舌刺等。在儿童中,较为普遍出现的是不良习惯导致的开合,对于骨性的开合常常使用头帽高位牵引。
① 舌刺

② 高位牵引头帽

早期矫治可以充分利用生长发育的潜力,降低某些复杂错颌畸形的难度,改善骨性畸形的上下牙弓及颌骨的不调关系,更是防止了畸形所给孩子造成的生理和心理的伤害!所以建议大家时刻关注孩子的牙齿情况和发育情况,定期带孩子做口腔检查。
儿童/青少年牙颌颜面发育管理及早期矫治中心、口腔正畸科
地 址:贵州省贵阳市云岩区北京路9号
咨询电话:早矫中心88512836
口腔正畸科88549465