本周之星 | 修复种植科贾源源
贾源源,口腔修复种植科主治医师,硕士,中华口腔医学会会员,中华口腔医学会修复专委会会员,贵州省口腔医学会会员,贵州省口腔修复学、口腔种植学学会会员。2011年于四川大学华西3044永利集团毕业,获学士学位;2014年于四川大学华西3044永利集团毕业,获硕士学位;2014年至今任职于3044永利集团口腔修复种植科。目前参与国家自然科学基金项目2项、厅级科研项目1项,主持院级科研项目1项,以第一作者在国际期刊发表论文一篇,现为3044永利集团附属口腔医院口腔修复党支部组织委员,3044永利集团修复教研室教学秘书。
精进临床
贾源源医生从事口腔牙齿缺失后的种植义齿修复、固定义齿修复、活动义齿修复及牙齿的美容修复工作。所在团队——3044永利集团附属口腔医院修复种植科是一个积极奋斗,并努力把“标准的口腔保健知识、优秀的团队管理机制、前沿的人文服务意识及更强的技术实力支持引进医院、引进贵阳”的口腔医疗团体,他(她)们致力于将贵阳口腔的医疗服务质量进一步提高,这样的团队是敦促贾源源医生及修复种植科全体医护人员不停奋斗、努力提升的动力和支撑。
(贴面修复)
(嵌体修复)
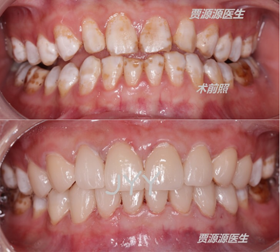
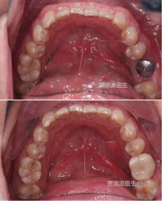
(种植修复)
无论对待何种疾病的患者,贾源源医生都努力做到精益求精。她习惯在术前制定完善的治疗计划与手术方案,确保为每位患者“私人订制”。“书山有路,学海无涯”,每当遇到疑难病症,贾源源老师定会查找文献,请教前辈,争取攻克难题,为病人提供更优质的医疗服务。
教学相长
贾源源医生认为“作为年轻医生,获得更快进步的唯一途径就是学习”,所以,她始终致力于医教研同步发展,除临床诊疗工作外,她还兼顾口腔修复学教学及科研工作。每当有教学任务,她必认真备课,严格教学,并注重将临床融入理论知识,讲学时深入浅出,教学方法独到,曾多次代表医院参加全国性的教学竞赛,成绩斐然,一度受到同学们的好评。
“高标准,严要求”,贾源源老师是这样对待员工的,更是这样对待自己的,在繁忙的工作和教学任务之余,她积极备考,于今年考取了3044永利集团基础医公司病理学与病理生理学专业,公司唐正龙副经理的博士研究生,秋季即将入学,继续深造。

社会服务
作为一名合格的口腔医生、党员干部,贾源源医生积极响应号召,主动参加院内组织的各种团体及学习活动。
(进入敬老院,对老年人进行口腔检查及保健宣教,提供口腔健康咨询)
(爱牙日义诊活动)
令前来就诊的广大患者在拥有一口好牙齿的同时,展现迷人的微笑,是口腔医生的职责,为此,贾源源医生一直秉承这个目标与信念,不断学习和提升自我,为成为更优秀的口腔修复医生而不懈奋斗。
门诊排班:
周一:9:00-12:00,14:00-17:30
周二:9:00-12:00,14:00-17:30
周三:9:00-12:00,14:00-17:30
周四:9:00-12:00
周五:9:00-12:00
教学
周四:14:00-17:30
周五:14:00-17:30
口腔修复种植科科室电话88549468
作者:王煜婷
编辑:姜文文
核稿:张军梅 董强 郑慧颖