您当前所在位置: 网站首页 > 专题专栏 > 健康科普 > 口腔健康科普 > 正文

家长注意!孩子牙齿不齐可影响大了哦

日期:2022-01-14       作者:何瑞琳       来源:特诊科


孩子能有一口洁白整齐的牙齿是很多家长的愿望,因为整齐的牙齿会给人的颜值加分,甚至让人的笑容都看起来格外甜美。但是,总有一些事情是不能如愿的,不少家长在孩子长大的过程中发现孩子的牙竟然不齐。

儿童牙齿健康问题通常都会被父母所忽略,认为只要做到基本的清洁工作就可以了,但其实牙齿的排列是否整齐,咬合是否正常也是至关重要的。牙齿的错误咬合对于孩子的面部发育也有一定的影响,换句话说,会影响到孩子的颜值。如果牙齿畸形没及时进行矫正,影响的不仅是孩子的外表,让孩子缺乏自信,还容易让孩子患上各种口腔疾病。

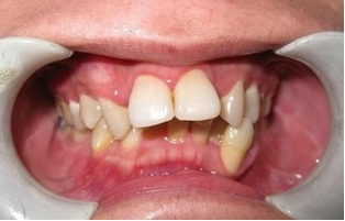
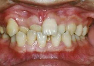
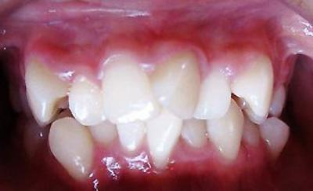
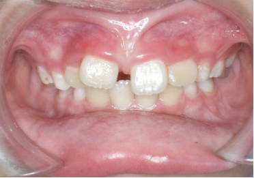
牙齿不齐在医学上又称错颌畸形,是指儿童在生长发育过程中,由先天的遗传因素或后天的环境因素,如疾病、口腔不良习惯、替牙异常等导致的牙齿、颌骨、颅面的畸形。

但是为什么他们会牙齿不齐呢?造成牙齿不齐的原因有多种,除了遗传因素,更多是后天导致的,一些不良的生活方式和习惯很可能就是元凶。

1.吸吮手指头

2岁以前的小孩会有吸吮手指头的习惯,这是孩子在寻求心理安慰。但如果这个习惯持续到三四岁,就会对他的牙齿发育造成不良影响。

2.咬异物

有的孩子有咬异物的习惯,如咬铅笔头、咬被角等,这些习惯家长都要帮助孩子改掉。

3.咬嘴唇

还有一类就是咬嘴唇,一到睡觉就把嘴唇咬进去了,这个也要帮助孩子在3岁之前纠正过来,如果持续下去会对牙齿以及脸形产生不好的影响。

牙齿不齐会给孩子带来哪些伤害呢?

①对口腔的危害:

孩子牙齿不齐可影响口腔卫生健康,因为牙齿不齐会影响到牙齿的自洁作用,同时刷牙效果也不好,会导致食物残渣和菌斑不易去除。时间长了就易引起龋齿,牙石或是导致牙龈炎等口腔问题出现,严重的可引起牙周病,导致牙齿松动脱落。另外,牙齿不齐还可影响口腔功能,如可影响咀嚼功能,影响下颌运动,或是易导致面部肌肉出现疲劳。

②对颜面的危害:

牙齿不齐最直接的危害就是可影响颜面美观,对于孩子在生长发育期间出现牙齿不齐时,如不能及时矫治,会影响到口腔及颜面部软硬组织的发育,从而可导致面部明显畸形,如可表现为地包天、开唇露齿、下颌偏斜等,这样就会让孩子的整体形象大打折扣。同时也不利于孩子的心理健康,因为牙齿不齐而受到同学或小伙伴的的嘲笑,从而产生自卑感。

③对身体的危害:

牙口不好,咀嚼起来也会产生负担。有一些食物在口腔里没能进行很好的咀嚼,那么等食物进入到我们的肠胃里就会造成消化道的困扰,严重影响到孩子的健康发育。

所以您看牙齿不整齐竟然有这么多的危害,即使没有以上问题,希望各位家长都能够关注孩子的牙齿发育情况,定期检查,必要时通过牙齿矫正给孩子一副整齐、健康的牙齿,同时也让孩子变得自信。让更多的孩子绽放美丽笑容!


来源 | 特诊科

作者 | 何瑞琳

图片 | 何瑞琳

编辑 | 计   

排版 | 计 

一审 | 陈仕红

二审 | 马 

三审 | 宣传科

四审 | 张军梅