您当前所在位置: 网站首页 > 专题专栏 > 健康科普 > 口腔健康科普 > 正文

数字化种植导板:让种植牙更精准、更安全、更微创

日期:2023-01-05       作者:蓝熙       来源:口腔修复种植科       编辑:姜文文

许多想种牙的患者,往往有以下几大顾虑,很痛苦?创伤很大?会不会种歪了,影响我旁边牙齿和其他结构?

近年来,科技迅猛发展,随着计算机辅助软件在口腔诊疗领域的拓展应用,基于口腔CBCT扫描数据的3D打印数字化种植导板在口腔种植外科手术中被广泛运用。这种相较于传统依靠医生临床经验的新型数字化种植路径,大大改变了患者的就医体验。利用数字化导板引导口腔种植外科手术,在很大程度上实现了更精准、更安全、也更微创。同时,也在很大程度上拉近了医患之间的沟通与交流,让医患双方在术前就能获得一定的手术预期性。

什么是数字化种植导板?

数字化种植导板是通过导板设计软件对CBCT、口扫等一系列数据的系统性分析,辅助口腔种植位点的设计,然后通过3D打印技术等途径进行导板生产,从而实现精准定位的种植手术装置。

简单来讲,数字化种植外科导板(简称导板),是将术前软件设计的种植方案,精确转移至患者口内的个性化手术辅助配件。

  

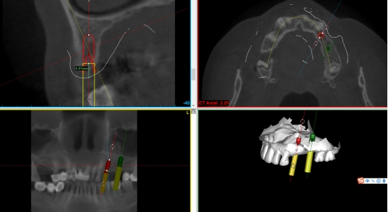
数字化种植导板引导下治疗流程

第一步:数据采集(口扫或仓扫+CBCT

第二步:数据匹配

(CBCT采集的Dicom数据与口扫获取的STL数据进行匹配,通过牙齿位点进行匹配。)

第三步:植入及导板设计

第四步:导板制作完成

(目前生成导板的方式主要有3D打印和切削两种方式)

第五步:外科手术

第六步:最终修复

 

数字化种植导板的优势

一、以终为始 更精准

在数字化种植导板下,通过CBCT、口扫等途径获取口腔三维信息内容。使患者在种植之前就可以了解到种植方案的相关细节,清晰地看到牙齿修复之后的模拟展示图,提前预知种植术后的效果。

二、精准控制 更安全

在数字化种植导板下的外科手术更加精准。种植体植入方向、位置、角度、深度等一目了然,即可将种植体精准植入到最佳位置,获得更优异的临床效果,手术安全性更高。

三、过程引导 更微创

数字化种植导板将术前设计方案精准转移,保证了种植体植入位置、方向及角度等的精确性,同时充分利用余留骨量,减少甚至避免了附加手术。

除此之外,数字化种植导板还可实现以修复为导向的种植方案设计,使得术后即刻修复成为可能,提高了修复后美学及功能效果的可预见性。

作者简介

蓝熙,硕士,主治医师。中华口腔医学会会员,中华口腔医学会修复专委会会员,贵州省口腔全科医学委员会、口腔修复委员会、口腔种植委员会委员。通过贵州省首批口腔临床规范化培训。2018年贵州省遵义市桐梓县人民医院下乡帮扶一年。2014年获西部口腔种植病例大赛优秀奖,2018年参加上海口腔年会修复病例壁报展获优秀奖,2016年获3044永利集团青年教师讲课比赛三等奖,2021年入选全国青年医师临床技能病例超星组。临床擅长修复、种植常见及多发病的诊疗,多学科联合诊疗。